
치주 질환은 단순히 치아 문제를 넘어서 전신 건강에도 깊은 영향을 주는 만성 질환입니다.
한국 성인의 약 70% 이상이 다양한 단계의 치주염을 경험한다고 알려져 있어요.
하지만 초기 증상을 가볍게 넘기면 치아 손실뿐 아니라 심혈관 질환, 당뇨병 등 위험으로도 이어질 수 있습니다.
오늘은 치주 질환의 원인부터 예방·치료법, 생활 속 관리 팁까지 한눈에 알아보겠습니다.
잇몸 건강은 작은 습관에서 시작됩니다. 함께 꼼꼼히 살펴보세요! 😃
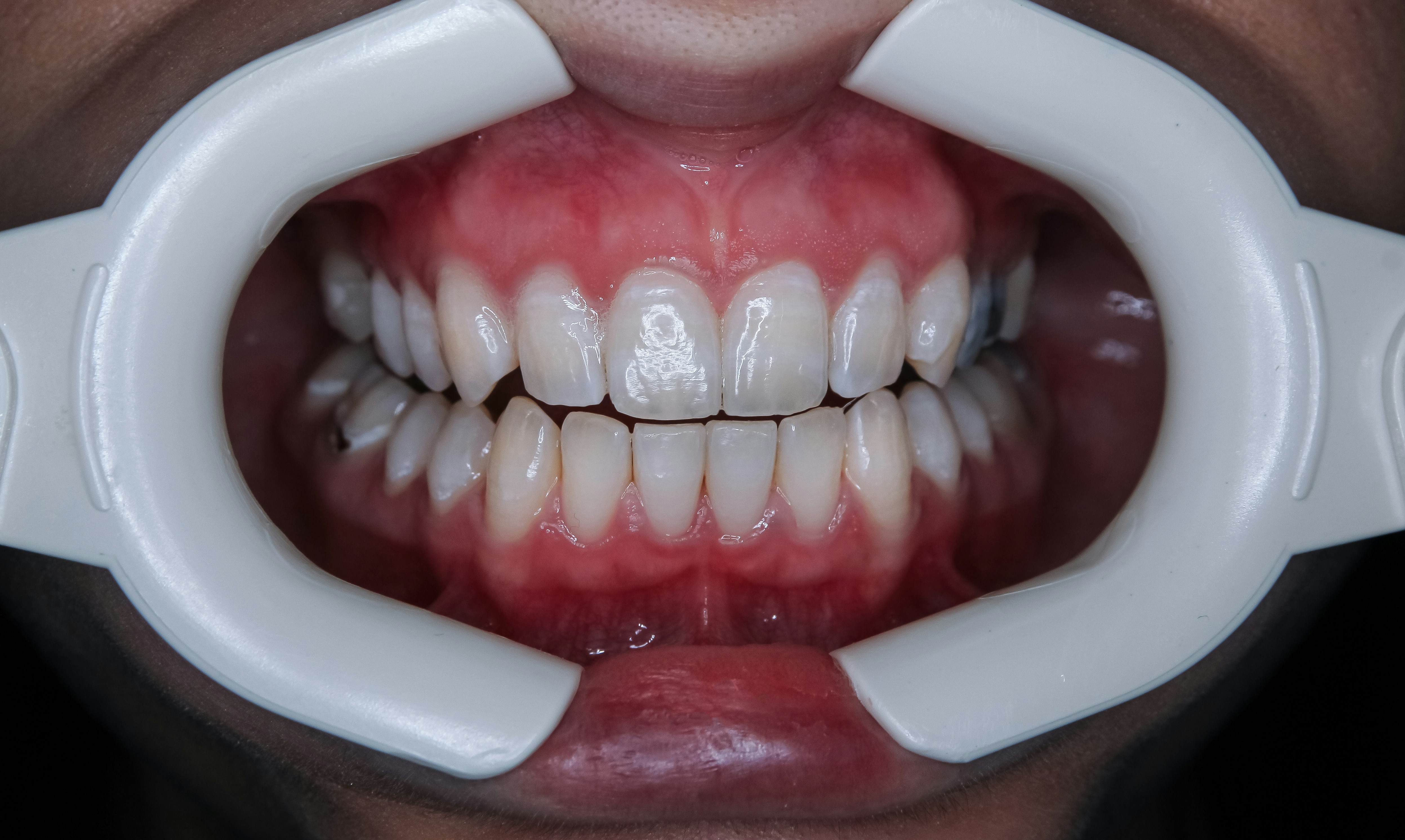
1. 치주 질환이란 무엇인가요? 📌
치주 질환은 흔히 말하는 치은염과 치주염을 포함합니다.
먼저, 용어를 정확히 알아야 올바르게 관리할 수 있습니다.
✅ 치은염
잇몸에 국한된 염증으로, 치태(플라그)가 쌓이면서 발생합니다.
가벼운 붓기와 출혈이 특징이며, 적절히 관리하면 되돌릴 수 있습니다.
✅ 치주염
치은염이 진행되어 치조골(치아를 지탱하는 뼈)까지 파괴되는 단계입니다.
치조골이 줄어들면 치아가 흔들리고 결국 빠질 수 있어요.
📢 치은염 → 치주염으로 발전하기 전 조기 발견과 치료가 핵심입니다.



2. 치주 질환의 주요 원인 🧐
치주 질환을 일으키는 원인은 매우 다양합니다.
아래 주요 요인을 점검해보세요.
🔹 불량한 구강 위생
치태와 치석이 장기간 방치되면 세균 번식이 급격히 증가합니다.
🔹 흡연
담배 속 니코틴은 혈류를 줄여 면역 반응을 떨어뜨리고 염증을 악화시킵니다.
🔹 당뇨병
혈당 조절이 어려운 경우 잇몸 면역력이 약해져 치주염이 심해집니다.
🔹 호르몬 변화
임신·폐경기에 잇몸이 붓고 출혈이 쉽게 일어납니다.
🔹 면역력 저하
만성 질환, 스트레스, 영양 결핍은 잇몸 방어력을 떨어뜨립니다.
💡 여러 요인이 복합적으로 작용하니, 생활습관과 건강 상태를 모두 살펴야 합니다.



3. 단계별 증상 알아보기 🚦
치주 질환은 단계에 따라 증상이 달라집니다.
| 초기 (치은염) | 잇몸 출혈, 가벼운 통증, 붉은 색 변화 |
| 중기 (치주염) | 잇몸 후퇴, 치아 사이 벌어짐, 입냄새 |
| 말기 (중증 치주염) | 치아 흔들림, 농(고름) 배출, 통증 심화 |
✅ 이 중 초기 치은염 단계에서 관리하면 치조골 파괴를 예방할 수 있습니다.
4. 치주 질환 진단과 치료 과정 🏥
치주 질환이 의심된다면 치과에서 정확한 진단이 필요합니다.
🔹 검사 과정
- 잇몸 포켓 깊이 측정 (프로브 검사)
- 치조골 파노라마 X-ray
- 치태·치석 상태 확인
🔹 치료 단계
- 스케일링 (치석 제거)
- 루트플래닝 (세균막 청소)
- 필요 시 잇몸 수술
- 유지 관리
📌 스케일링은 1년에 1회 건강보험이 적용됩니다.






5. 일상에서 실천하는 예방 습관 🌿
잇몸 건강은 생활습관에서 시작됩니다.
✅ 올바른 칫솔질
- 하루 2회 이상, 치아와 잇몸 경계 부드럽게 쓸어내기
✅ 치실·치간칫솔 사용
- 칫솔로 닿지 않는 부위 치태 제거
✅ 금연
- 니코틴이 혈류를 막아 회복을 방해합니다.
✅ 균형 잡힌 식사
- 비타민C, D, 칼슘 충분히 섭취
✅ 정기 검진
- 6개월마다 치과 내원 권장
😃 이런 습관이 치아 건강뿐 아니라 전신 건강에도 큰 도움을 줍니다.
6. 치주 질환과 전신 건강의 관계 🌐
많은 연구에서 치주염과 당뇨병, 심혈관질환의 상관관계가 밝혀졌습니다.
🔹 심혈관 질환
치주염이 혈관 염증을 일으켜 동맥경화를 촉진합니다.
🔹 당뇨병
치주염이 혈당 조절을 어렵게 해 악순환이 생깁니다.
🔹 조산 위험
임산부 치주염은 저체중아 출산과 조산 확률을 높입니다.
📢 잇몸 건강을 관리하는 것은 곧 전신 건강을 지키는 일입니다.



7. 치주 질환 치료 후 관리 팁 ✨
치료 후에도 꾸준한 관리가 필요합니다.
🔹 수술 부위 자극 금지
🔹 1~2주간 부드러운 음식 섭취
🔹 과도한 칫솔질 피하기
🔹 잇몸 마사지를 통한 혈류 개선
📌 인공눈물처럼, 잇몸도 매일 관리하는 습관이 중요합니다.
8. 🦷 치주 질환 단계별 증상 한눈에 보기
치주 질환은 초기에는 가볍게 지나칠 수 있지만, 단계별로 증상이 분명해집니다.
아래 표로 본인의 상태를 점검해 보세요.
| 치은염 (초기) | 잇몸이 붉어짐, 가벼운 통증, 양치 시 출혈 |
| 경증 치주염 | 치석 증가, 입냄새, 잇몸 부종 |
| 중등도 치주염 | 잇몸이 뒤로 밀려 치아 뿌리 노출, 씹을 때 불편 |
| 중증 치주염 | 치아 흔들림, 농(고름) 배출, 치아 탈락 위험 |
✅ 치은염 단계에서 관리하면 대부분 호전됩니다.
방치하면 치아 상실까지 진행될 수 있어 조기 치료가 핵심입니다.



9. 👩⚕️ 전문가가 알려주는 예방 팁
치주 질환 예방은 매일 습관이 중요합니다.
✅ 하루 2회 이상 올바른 칫솔질
- 치아와 잇몸 경계 부위를 부드럽게 쓸어내기
- 과도한 힘으로 문지르면 오히려 잇몸 손상
✅ 치간칫솔과 치실 활용
- 칫솔만으로 제거되지 않는 치태를 깨끗이 청소
- 하루 1회 이상 사용 권장
✅ 3~6개월 주기 스케일링
- 치태가 치석으로 바뀌기 전에 정기 제거
- 건강보험 적용 가능
✅ 금연 및 건강한 식습관
- 흡연은 혈류를 감소시켜 치주 질환 악화
- 비타민 C가 풍부한 채소·과일 섭취 권장
10. 📊 치주 질환과 전신 건강의 연관성
최근 연구에 따르면 치주염과 심혈관 질환, 당뇨병, 조산이 밀접하게 관련되어 있다는 결과가 있습니다.
✅ 치주염 → 만성 염증 → 혈관 손상
✅ 당뇨병 환자일수록 치주염 위험 2~3배 증가
✅ 임신부의 조산·저체중아 출산률 상승
💡 치아 건강이 곧 전신 건강이라는 말이 결코 과장이 아닙니다.



11. 🌿 치주 건강을 위한 영양소
다음 영양소는 잇몸 회복과 면역력 강화에 도움을 줍니다.
🥬 비타민 C
- 콜라겐 형성을 돕고 잇몸 출혈 방지
🥑 비타민 D
- 뼈와 치조골 건강에 필수
🥜 오메가-3 지방산
- 염증 억제 효과
🥛 칼슘
- 치아와 치조골 유지
12. Q&A 자주 묻는 질문 🙋♂️
Q1. 스케일링만 하면 치주염이 완전히 치료되나요?
👉 아니요. 중등도 이상은 별도의 잇몸 치료나 수술이 필요합니다.
Q2. 잇몸에서 고름이 나오면 어떻게 해야 하나요?
👉 즉시 치과 내원이 필요하며, 농양 치료와 소독이 필요합니다.
Q3. 치주염은 재발하나요?
👉 네. 관리 소홀 시 재발 확률이 높아 지속적 관리가 중요합니다.



13. 마무리 📝
치주 질환은 누구에게나 생길 수 있는 흔한 문제지만,
제때 관리하지 않으면 치아 상실과 전신 질환으로 이어질 수 있습니다.
오늘부터라도 작은 습관을 바꿔보세요.
✅ 하루 두 번 꼼꼼한 칫솔질
✅ 정기 검진과 스케일링
✅ 금연과 영양 관리
이 세 가지만 지켜도 잇몸 건강의 80% 이상을 지킬 수 있습니다.
건강한 미소와 튼튼한 치아로 활기찬 일상을 보내시길 바랍니다! 🌿✨





